10月10日,为期三天的首届西部(成都)健康促进博览会(简称“西部健博会”)在中国西部国际博览城正式启幕。作为四川省卫生健康委确定的唯一“四川省慢性病医防融合试点单位”以及成功开展我国自主研发辅助关节置换机器人上市后全国首台膝关节置换术的医疗机构,四川大学华西春熙医院·四川省第四人民医院(以下简称 “省四医院”)在博览会上亮相,围绕“慢性病医防融合” 与 “骨科智能手术”两大核心亮点,打造多形式互动、立体化展示矩阵,集中呈现医院在医疗技术创新、服务模式优化等领域的标杆成果,彰显省级三甲综合医院的责任与担当。医院党委书记张立、院长刘斌出席本次博览会。

张立在展会现场重点展示了该医院以“健康管家”服务为核心的医防融合创新模式,吸引众多参展嘉宾与市民驻足交流体验。据悉,自2023年7月获批试点以来,医院紧扣“以疾病为中心”向“以健康为中心”的理念转变,成立“慢性病医防融合管理中心”,组建由专科医生、公卫医生、健康管理医师、疾病管理师构成的“四师团队”,聚焦高血压、高血糖、高血脂、低睡眠质量(“三高一低”)四大重点病种,通过“线上信息化平台 + 线下一站式中心”双轮驱动,在院前、院中、院后三大环节构建“防、筛、诊、治、康、管、护、养”八位一体的全生命周期健康管理体系。
展会现场还原了“健康驿站”功能场景,集中展示血压睡眠监测手表、持续葡萄糖监测系统、数字人交互屏等智能设备,以及节气穴位贴敷、中医理疗床等特色服务设施。市民可现场体验自测自检、AI 健康科普、中医体质辨识等服务,直观感受“主动健康管理”的便捷性。据介绍,医院通过信息化平台实现健康数据“自动 + 主动”双模式采集,依托AI大模型完成人群“绿色(健康人群)、黄色(健康风险人群)、红色(疾病人群)”三色分层管理,针对不同人群精准推送健康任务、干预措施与诊疗方案,目前已实现纳管人群规范管理率显著提升,相关经验获省卫生健康委高度肯定。

同时,医院将中西医结合理念深度融入慢性病管理,研发“药食同源”养生茶饮,推动经络检测、舌诊等传统中医技术智慧化升级,形成“西医控指标+中医调体质”的协同干预方案,为慢性病防治构建“防”“治”双重保障,现场展出的中医特色产品与服务流程成为展会一大亮点。

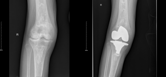
在智能医疗展示区,省四医院骨科团队带来的“机器人辅助关节置换技术”成为焦点。刘斌介绍,作为 2023年获批的省级临床重点专科,医院骨科紧跟技术前沿,2022年12月便与四川大学华西医院专家合作,成功开展我国自主研发辅助关节置换机器人上市后的全国首台膝关节置换术,标志着医院骨科迈入“精准化、智能化、个性化、微创化”诊疗新时代。

展会现场通过手术视频、3D模型演示、数据对比等形式,详细介绍了机器人辅助手术的技术优势:基于3D智能重建技术可个性化定制手术方案,操作精度达亚毫米级,机械臂稳定操作能有效减少组织损伤,使患者术中出血量降低40%、平均住院时间缩短30%,术后当天即可下床活动。目前,医院已成功开展机器人辅助关节置换手术近300例,手术成功率100%,平均手术精度误差小于1°,无严重并发症,患者术后满意度达98%以上,相关成果充分彰显医院在骨科智能手术领域的国内领先水平。据骨科团队介绍,未来医院还将拓展机器人辅助脊柱手术等新领域,让更多患者享受技术革新带来的优质医疗服务。
此次亮相西部健博会,是省四医院主动融入健康四川建设、推动优质医疗资源共享的重要举措。张立表示,未来将以此次展会为契机,持续深化慢性病医防融合试点建设,加快智能医疗技术临床转化,不断提升医疗服务质量与效率,为人民群众提供更优质、高效、便捷的医疗卫生服务,为推动西部地区卫生健康事业高质量发展贡献“省四院力量”。
(川网传媒·四川手机报记者 黄睿)